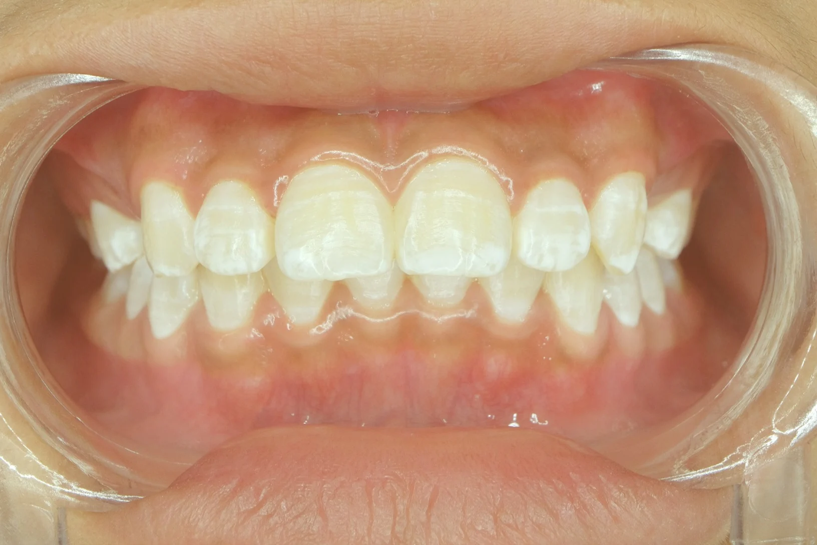
Have you noticed parts of your teeth that are white, maybe chalky or creamy? Although you may be embarrassed about the way these spots look in your smile, they may also be signs of dental disease.
White patches are a sign of hypo calcification, a type of deterioration of the tooth enamel. You should not be afraid of discussing your worries with your dentist, as this is a problem they must address. Continue reading to find out more about hypocalcification and how it impacts the appearance and texture of your teeth. You should also speak to Lakeview, Chicago dental practice who can provide professional treatment options.
Fixing white spots on your teeth
A decrease in the calcium content of your teeth enamel is referred to as hypocalcification. A thinning of this shell can occur from the loss of this substance on the surface of your teeth. This gives the teeth a chalky appearance.
One common cause of this tooth issue is enamel erosion. Poor oral hygiene and letting plaque build up on your teeth are two everyday bad habits that contribute to this problem. Foods that contain sugar or acid may break down your tooth enamel and cause this type of damage.
The loss of calcium from teeth can occur in some families genetically. In such a situation, people need to work together with their dentist in creating an appropriate preventative dental treatment routine.
Enamel is unable to repair itself after it has deteriorated. To fix this issue with your teeth, you will need to see your dentist. The procedure may improve the appearance of your smile as well as improve the condition of your teeth.
Can your dentist get rid of white spots on your teeth?
Your dentist will inspect your smile to identify the root of the dental issue and treat it immediately. They might develop an aesthetic treatment plan to restore your teeth to their best look once your smile is healthy.
Your dentist might give a fluoride treatment to you in order to strengthen any weak enamel. They could also advise that you apply mouthwash or toothpaste that includes fluoride. The substance seeps into the enamel of your teeth, strengthening them from decay and other potential dangers.
After this procedure, the white spots on your teeth’s surface can still be present. You might ask your oral surgeon about cosmetic dental treatments to get rid of them and have an even and bright smile.
Composite resin can be used in dental bonding to bleach your teeth. A dentist creates the resin to meet your specific requirements and accomplish your aesthetic goals for your smile. Furthermore, they may recommend porcelain veneers, which are shells that mimic caps and are put on to the front of your teeth to fix cosmetic issues while giving you a uniformly brilliant smile.













Comments